Retina Gallery ~ Full Sized Retina Images

Library of Free, Non-Copyrighted Retina Images and Videos

Choose your language:
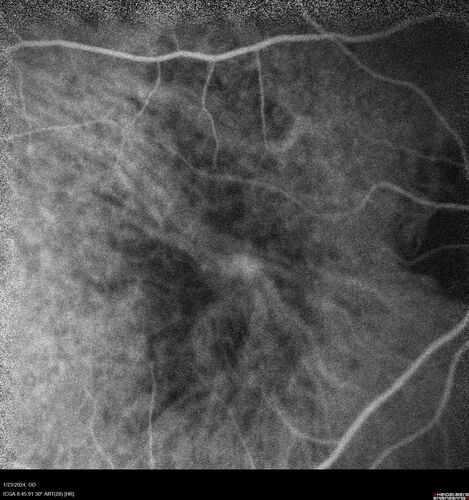
wet AMD with classic extrafoveal macular neovascularization in the good eye
89 year old man with longstanding vision loss in the left eye presented with one month of mild vision loss in the right eye.  Vision was 20/32.  This eye responded to vabysmo therapy.

wet AMD with classic extrafoveal macular neovascularization in the good eye

89 year old man with longstanding vision loss in the left eye presented with one month of mild vision loss in the right eye. Vision was 20/32. This eye responded to vabysmo therapy.

AMDclassicCNVM1_80416_012324_26.jpg AMDclassicCNVM1_80416_012324_25.jpg AMDclassicCNVM1_80416_012324_24.jpg AMDclassicCNVM1_80416_012324_23.jpg AMDclassicCNVM1_80416_012324_22.jpg