Retina Gallery ~ Full Sized Retina Images
Library of Free, Non-Copyrighted Retina Images and Videos
Home
Contact
About Us
Register
Login
Album list
Last uploads
Last comments
Most viewed
Top rated
My Favorites
By date
Search
FAQ
Choose your language:
FILE 23/31
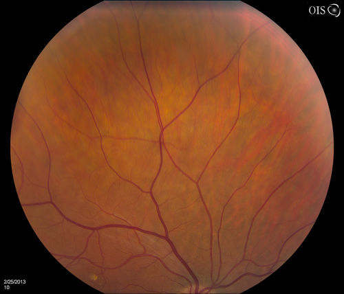
Pigmented Peripheral Retinal Degeneration
42-year old male comes in for routine eye exam and to follow up on peripheral retinal degeneration in both eyes. VA is 20/20, right eye and 20/25, left eye. Patient is asymptomatic with no visual complaints.
File information
Filename:
49545_010.JPG
Album name:
/
Pigmented Peripheral Retinal Degeneration
Attribution (if wanted) enter name or institution here: :
Mayo Clinic Jacksonville, Florida
Device with which Image was Captured::
TOPCON TRC 50-EX
Filesize:
4477 KiB
Date added:
Feb 25, 2013
Dimensions:
2392 x 2048 pixels
Displayed:
471 times
URL:
https://retinagallery.com/displayimage.php?pid=6125
Favorites:
Add to Favorites