Retina Gallery ~ Full Sized Retina Images

Library of Free, Non-Copyrighted Retina Images and Videos

Choose your language:
Acute Posterior Multifocal Placoid Pigment Epitheliopathy - APMPPE - Fluorescein Angiogram
 25-year-old man with one and half weeks ago he woke up with night chills.   Also around that time his joints started hurting him.  He also has headaches, although the headache at this point is not severe.  His vision has been changing for about the last week and a half.  He sees some spots in his vision and they are blurred spots.  They are not in the central vision.  
VISUAL ACUITY:  OD 20/32,  OS 20/32

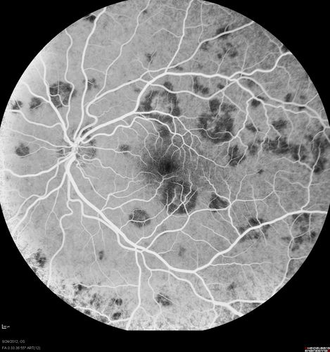
Acute Posterior Multifocal Placoid Pigment Epitheliopathy - APMPPE - Fluorescein Angiogram

25-year-old man with one and half weeks ago he woke up with night chills. Also around that time his joints started hurting him. He also has headaches, although the headache at this point is not severe. His vision has been changing for about the last week and a half. He sees some spots in his vision and they are blurred spots. They are not in the central vision.
VISUAL ACUITY: OD 20/32, OS 20/32

APMPPE_rofe_41.jpg APMPPE_rofe_40.jpg APMPPE_rofe_39.jpg APMPPE_rofe_38.jpg APMPPE_rofe_37.jpg