Retina Gallery ~ Full Sized Retina Images

Library of Free, Non-Copyrighted Retina Images and Videos

Choose your language:
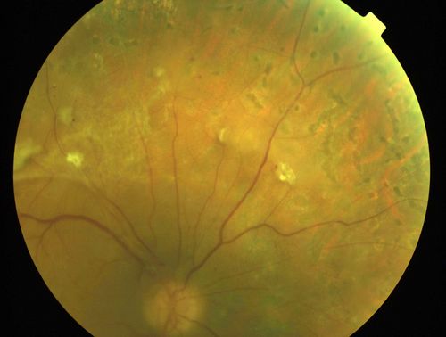
Macula Threatening Diabetic Traction Retinal Detachment - Proliferative Diabetic Retinopathy - Vitreous Hemorrhage
Vision 20/50 but tractional retinal detachment supero-temporally is extending toward fovea and vessels are still active on optic nerve.

Macula Threatening Diabetic Traction Retinal Detachment - Proliferative Diabetic Retinopathy - Vitreous Hemorrhage

Vision 20/50 but tractional retinal detachment supero-temporally is extending toward fovea and vessels are still active on optic nerve.

IM000010.JPG IM000009.JPG IM000008.JPG IM000007.JPG IM000006.JPG