Retina Gallery ~ Full Sized Retina Images
Library of Free, Non-Copyrighted Retina Images and Videos
Home
Contact
About Us
Register
Login
Album list
Last uploads
Last comments
Most viewed
Top rated
My Favorites
By date
Search
FAQ
Choose your language:
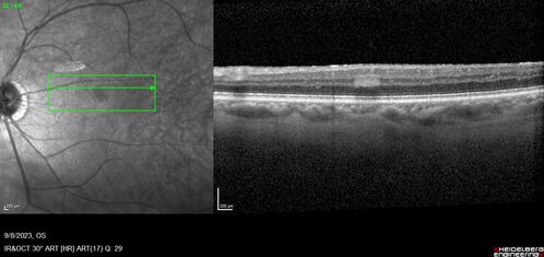
FILE 23/49
Paracentral acute middle maculopathy - isolated
83 year old man New spot in the vision yesterday left eye.
Medical Hx: Pure Hypercholesterolemia
Systemic Meds: Crestor.
VA OD: Dcc20/20
VA OS: Dcc20/20
IOP: TP: OD:19 OS:10
File information
Filename:
PAMM_50895_102423_27.jpg
Album name:
scohen125
/
Isolated PAMM lesion
Filesize:
97 KiB
Date added:
Mar 11, 2024
Dimensions:
1264 x 596 pixels
Displayed:
83 times
URL:
https://retinagallery.com/displayimage.php?pid=17752
Favorites:
Add to Favorites