Retina Gallery ~ Full Sized Retina Images
Library of Free, Non-Copyrighted Retina Images and Videos
Home
Contact
About Us
Register
Login
Album list
Last uploads
Last comments
Most viewed
Top rated
My Favorites
By date
Search
FAQ
Choose your language:
FILE 19/24
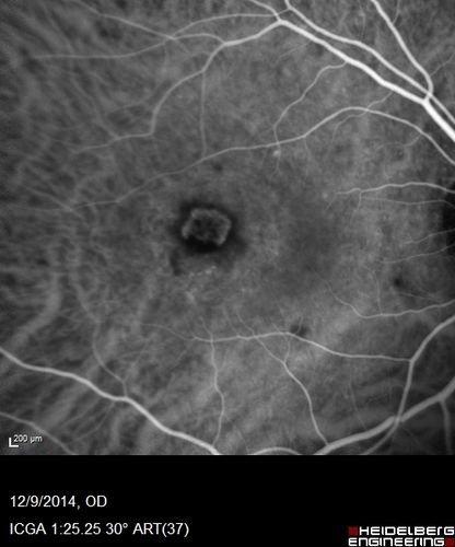
Presumed Ocular Histoplasmosis with new CNVM in right and better eye - VA 20/80 OD; 20/800 OS
Indocyanine Green Angiogram
File information
Filename:
ohs1_cnvm_maja_120914_26.jpg
Album name:
scohen125
/
Ocular Histoplasmosis with New CNVM in right and better eye treated with Lucentis (POHS)
Filesize:
150 KiB
Date added:
Apr 02, 2015
Dimensions:
496 x 596 pixels
Displayed:
459 times
URL:
https://retinagallery.com/displayimage.php?pid=8418
Favorites:
Add to Favorites