Retina Gallery ~ Full Sized Retina Images
Library of Free, Non-Copyrighted Retina Images and Videos
Home
Contact
About Us
Register
Login
Album list
Last uploads
Last comments
Most viewed
Top rated
My Favorites
By date
Search
FAQ
Choose your language:
FILE 14/14
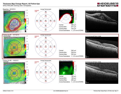
Self Sealed Retinal Arteriol Macroaneurysm - MAP shows decreased swelling
SD OCT map
File information
Filename:
MA_selfsealed_loko_20.JPG
Album name:
scohen125
/
Macroaneurysm - Severe Edema and self sealed within one month
Filesize:
1662 KiB
Date added:
Mar 06, 2015
Dimensions:
2112 x 1632 pixels
Displayed:
503 times
URL:
https://retinagallery.com/displayimage.php?pid=8276
Favorites:
Add to Favorites