Retina Gallery ~ Full Sized Retina Images
Library of Free, Non-Copyrighted Retina Images and Videos
Startseite
Kontakt
About Us
Registrieren
Anmelden
Albenliste
Neueste Uploads
Neueste Kommentare
Am meisten angesehen
Am besten bewertet
Meine Favoriten
Nach Datum
Suche
FAQ
Wähle Sprache:
Datei 26/32
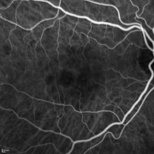
Polypoidal Choroidal Vasculopathy with Pulsating ICG polyp left eye
Datei-Information
Dateiname:
pcv_pulpoly_caga_030714_27.jpg
Name des Albums:
scohen125
/
Polypoidal Choroidal Vasculopathy - ICG shows pulsating polyp
Dateigröße:
269 KB
Hinzugefügt am:
11. Oktober 2014
Abmessungen:
768 x 768 Pixel
Angezeigt:
515 mal
URL:
https://retinagallery.com/displayimage.php?pid=7892
Favoriten:
zu Favoriten hinzufügen