Retina Gallery ~ Full Sized Retina Images
Library of Free, Non-Copyrighted Retina Images and Videos
Home
Contact
About Us
Register
Login
Album list
Last uploads
Last comments
Most viewed
Top rated
My Favorites
By date
Search
FAQ
Choose your language:
FILE 15/16
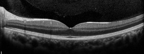
Neuroretinitis - Cat Scratch - Bartonella - Sudden Vision Loss Right Eye - 29 Year Old Female
File information
Filename:
Neuroretinitis_RaCu_090314_15.jpg
Album name:
scohen125
/
Neuroretinitis - Cat Scratch Disease - 29 Year Old Sudden Vision Loss Right Eye
Filesize:
140 KiB
Date added:
Sep 06, 2014
Dimensions:
764 x 287 pixels
Displayed:
447 times
URL:
https://retinagallery.com/displayimage.php?pid=7699
Favorites:
Add to Favorites