Retina Gallery ~ Full Sized Retina Images
Library of Free, Non-Copyrighted Retina Images and Videos
Startseite
Kontakt
About Us
Registrieren
Anmelden
Albenliste
Neueste Uploads
Neueste Kommentare
Am meisten angesehen
Am besten bewertet
Meine Favoriten
Nach Datum
Suche
FAQ
Wähle Sprache:
Datei 1/1
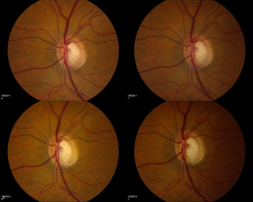
Notching of Optic Nerve Rim Inferiorly
Progression of glaucoma in the left eye. Past 3-years, developed a notch inferior to the optic disc in the left eye.
Datei-Information
Dateiname:
Ph50811_2x2.JPG
Name des Albums:
/
Notching of Optic Nerve Rim Inferiorly
Attribution (if wanted) enter name or institution here: :
Mayo Clinic Jacksonville, Florida
Device with which Image was Captured::
TOPCON TRC 50-EX
Dateigröße:
4817 KB
Hinzugefügt am:
07. Januar 2014
Abmessungen:
2560 x 2048 Pixel
Angezeigt:
1179 mal
URL:
https://retinagallery.com/displayimage.php?pid=7231
Favoriten:
zu Favoriten hinzufügen