Retina Gallery ~ Full Sized Retina Images
Library of Free, Non-Copyrighted Retina Images and Videos
Home
Contact
About Us
Register
Login
Album list
Last uploads
Last comments
Most viewed
Top rated
My Favorites
By date
Search
FAQ
Choose your language:
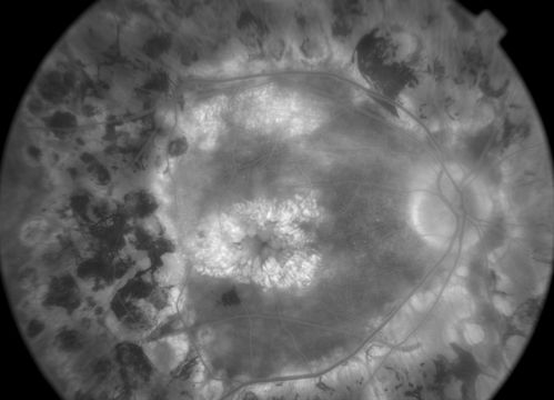
FILE 3/7
late phase FA
50+ YO female presented with DM type 1;
PT presented with PDR s/p extensive PRP
FA showed CNV OD
VA stable at 20/150 for 1 year
File information
Filename:
PDRCNV_OD3.jpg
Album name:
/
021 September 2013 - Best Image Finalist - Winner - Subretinal Hemorrhage - Jason Calhoun - Photographer - Mayo Clinic Jacksonville
Keywords:
cnvm
/
cystoid macular edema
/
Diabetic
/
diabetic like
/
laser
/
september2013
Device with which Image was Captured::
Topcon fundus camera
Filesize:
249 KiB
Date added:
Sep 17, 2013
Dimensions:
2040 x 1472 pixels
Displayed:
955 times
URL:
https://retinagallery.com/displayimage.php?pid=6981
Favorites:
Add to Favorites