Retina Gallery ~ Full Sized Retina Images
Library of Free, Non-Copyrighted Retina Images and Videos
Home
Contact
About Us
Register
Login
Album list
Last uploads
Last comments
Most viewed
Top rated
My Favorites
By date
Search
FAQ
Choose your language:
FILE 47/55
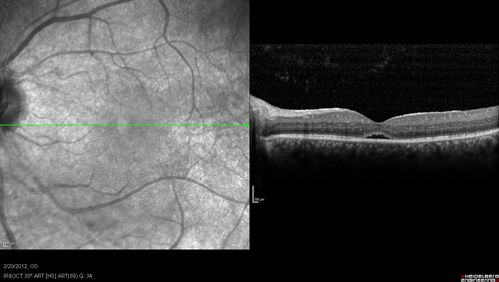
Retinitis Pigmentosa Sine Pigmento or Unknown Dystrophy - Peripheral Superficial White Spots and Recurrent CME
1 month of treatment with diamox 500 mg BID- cme is a little better
File information
Filename:
dystwhitespots_lori_oct_02201237.jpg
Album name:
scohen125
/
Unknown - White Spots Periphery - Recurrent CME - Maybe Retinitis Pigmentosa without Pigment
Filesize:
543 KiB
Date added:
Feb 04, 2013
Dimensions:
1536 x 868 pixels
Displayed:
542 times
URL:
https://retinagallery.com/displayimage.php?pid=5838
Favorites:
Add to Favorites