Retina Gallery ~ Full Sized Retina Images

Library of Free, Non-Copyrighted Retina Images and Videos

Choose your language:
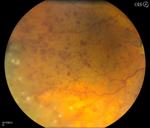
Central Retinal Vein Occlusion with Macular Edema and Retinal Hemorrhages 
Female patient of 86-years of age presents a central retinal vein occlusion with macular edema in the right eye. Patient's VA was 20/70 in the right eye. Proceeded with laser treatment to the right eye.

Central Retinal Vein Occlusion with Macular Edema and Retinal Hemorrhages

Female patient of 86-years of age presents a central retinal vein occlusion with macular edema in the right eye. Patient's VA was 20/70 in the right eye. Proceeded with laser treatment to the right eye.

49359_010.JPG 49359_011.JPG 49359_012.JPG 49359_013.JPG 49359_014.JPG