Retina Gallery ~ Full Sized Retina Images
Library of Free, Non-Copyrighted Retina Images and Videos
Home
Contact
About Us
Register
Login
Album list
Last uploads
Last comments
Most viewed
Top rated
My Favorites
By date
Search
FAQ
Choose your language:
FILE 1/1
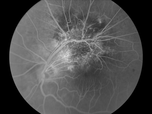
Haramotoma with ERM
Haramotoma with an ERM in the OS of a middle aged man
File information
Filename:
scherfFA3r.jpg
Album name:
/
Haramotoma
Keywords:
Haramotoma
/
ERM
/
Retinal Tumor
Attribution (if wanted) enter name or institution here: :
Marissa Scherf
Device with which Image was Captured::
Topcon TRC 50IX
Filesize:
1846 KiB
Date added:
Jan 08, 2013
Dimensions:
2560 x 1920 pixels
Displayed:
563 times
URL:
https://retinagallery.com/displayimage.php?pid=5649
Favorites:
Add to Favorites