Retina Gallery ~ Full Sized Retina Images

Library of Free, Non-Copyrighted Retina Images and Videos

Choose your language:
Retinitis Pigmentosa - Autosomal Dominant - Vision Loss at Young Age - Infrared
 54-year-old woman has autosomal dominant retinitis pigmentosa.  Her mother and grandmother both had it and she has one son who has it and one daughter who doesn’t.  She also has a sister with it.  She lost vision since she was younger.  She had cataract surgery done in January and February of this year.  She has been seeing unusual flashing lights throughout the periphery and central vision for about the last year or two.  

VISUAL ACUITY:  OD 20/160,  OS 20/160

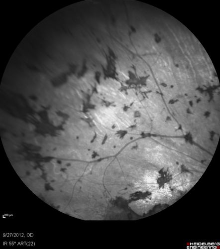
Retinitis Pigmentosa - Autosomal Dominant - Vision Loss at Young Age - Infrared

54-year-old woman has autosomal dominant retinitis pigmentosa. Her mother and grandmother both had it and she has one son who has it and one daughter who doesn’t. She also has a sister with it. She lost vision since she was younger. She had cataract surgery done in January and February of this year. She has been seeing unusual flashing lights throughout the periphery and central vision for about the last year or two.

VISUAL ACUITY: OD 20/160, OS 20/160

bemc_092712_05.png bemc_092712_06.jpg bemc_092712_07.jpg bemc_092712_08.jpg bemc_092712_09.jpg