Retina Gallery ~ Full Sized Retina Images

Library of Free, Non-Copyrighted Retina Images and Videos

Choose your language:
Papilledema post-spinal tap va 20/25
24-year-old woman was seen in the office on 2/23/2010.  She has had noticed positional blurring of her vision when she bends over since around November.  When she bends over and stands up straight, she notices her vision is blurred.   Vision OD is 20/100, PH 20/40; OS is 20/80, PH 20/30.  IOP:  19 OU.  
vision was 20/25 after tap

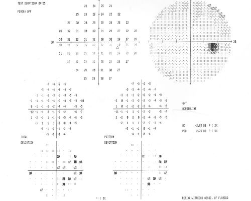
Papilledema post-spinal tap va 20/25

24-year-old woman was seen in the office on 2/23/2010. She has had noticed positional blurring of her vision when she bends over since around November. When she bends over and stands up straight, she notices her vision is blurred. Vision OD is 20/100, PH 20/40; OS is 20/80, PH 20/30. IOP: 19 OU.
vision was 20/25 after tap

papilledemapretap~0.jpg papilledemapretapvf.gif papilledemaposttap~0.jpg papilledemaposttapvf~0.jpg