Retina Gallery ~ Full Sized Retina Images
Library of Free, Non-Copyrighted Retina Images and Videos
Home
Contact
About Us
Register
Login
Album list
Last uploads
Last comments
Most viewed
Top rated
My Favorites
By date
Search
FAQ
Choose your language:
FILE 2/4
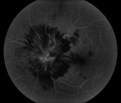
CRVO
58 year old male with present CRVO OU. Visual Acuity 20/30 OD 20/200 OS. Pt. recently underwent surgery for cancer of the bladder and has other blood and hemoglobin issues. Pt sent for further blood work and see a neurologist.
File information
Filename:
3~0.jpg
Album name:
/
CRVO
Keywords:
CRVO, hemorrhage
Attribution (if wanted) enter name or institution here: :
Nicholas Leonard Carolina Eye Associates, P.A. Southern Pines, NC
Device with which Image was Captured::
Topcon TRC 50DX
Filesize:
601 KiB
Date added:
Apr 25, 2012
Dimensions:
2392 x 2048 pixels
Displayed:
360 times
URL:
https://retinagallery.com/displayimage.php?pid=4671
Favorites:
Add to Favorites