Retina Gallery ~ Full Sized Retina Images

Library of Free, Non-Copyrighted Retina Images and Videos

Choose your language:
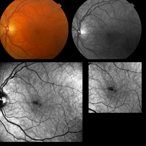
Acute Macula Neuroretinopathy
39yr old male: Presents with Inferior Temporal Scotoma in his left eye, x 10 days with no change in shape or size, Visual acuity 20/25. 
Most common sysptoms are described as sudden onset of one or more paracentral scotomas.  {with the tip pointing toward the Fovea} without any other visual symptoms. Currently no treatment recommended.
Keywords: Scotoma, Macula, Neuroretinopathy;jan2012

Acute Macula Neuroretinopathy

39yr old male: Presents with Inferior Temporal Scotoma in his left eye, x 10 days with no change in shape or size, Visual acuity 20/25.
Most common sysptoms are described as sudden onset of one or more paracentral scotomas. {with the tip pointing toward the Fovea} without any other visual symptoms. Currently no treatment recommended.

RD_with_Macular_Hole_OD.jpg Optic_Nerve5B0015D.png Acute_4_up.png mac_hole.jpg Intraocular_Foreign_Body.jpg

Comment 1 to 3 of 3
Page: 1

Char Harris   [Jan 06, 2012 at 12:27 PM]
well done
tomsteele   [Jan 31, 2012 at 02:15 PM]
very rare
Barbara Parolini   [Feb 19, 2012 at 09:52 AM]
WELL TAKEN, GOOD CHOICE OF IMAGING, RARE CONDITION

Comment 1 to 3 of 3
Page: 1