Retina Gallery ~ Full Sized Retina Images

Library of Free, Non-Copyrighted Retina Images and Videos

Choose your language:
Central Serous Retinopathy Acute - Indocyanine Green Angiogram - Leakage Choriocapillaris 
42-year-old man was seen in the office on October 5, 2011.  He had noticed starting in August after a course of antibiotic and steroids, that he developed new spots in his vision in the right eye.  He may have had an episode like this sometime in the past.  He did take steroids a few years ago and his vision did change at that time, but then returned.  

VISUAL ACUITY:  OD 20/32,  OS 20/32

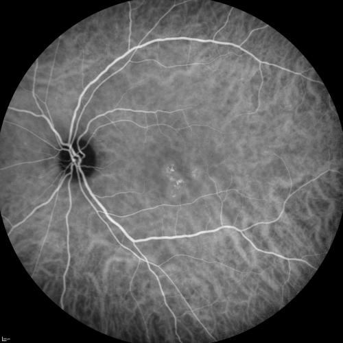
Central Serous Retinopathy Acute - Indocyanine Green Angiogram - Leakage Choriocapillaris

42-year-old man was seen in the office on October 5, 2011. He had noticed starting in August after a course of antibiotic and steroids, that he developed new spots in his vision in the right eye. He may have had an episode like this sometime in the past. He did take steroids a few years ago and his vision did change at that time, but then returned.

VISUAL ACUITY: OD 20/32, OS 20/32

csr5icg_dade18.png csr5icg_dade19.png csr5icg_dade20.png csr5icg_dade21.png csr5icg_dade22.png