Retina Gallery ~ Full Sized Retina Images
Library of Free, Non-Copyrighted Retina Images and Videos
Home
Contact
About Us
Register
Login
Album list
Last uploads
Last comments
Most viewed
Top rated
My Favorites
By date
Search
FAQ
Choose your language:
FILE 9/11
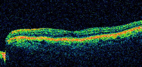
Pattern Dystrophy - Adult Vitelliform Dystrophy - Macular Degeneration
78 Year Old Woman with vision has diminished in the right eye over the past couple of years, but the diminishment has been slow.
20/60+1 OD, 20/25 OS
File information
Filename:
pattdystos_beju08.jpg
Album name:
scohen
/
Adult Vitelliform Pattern Dystrophy One Eye Only
Filesize:
110 KiB
Date added:
Sep 06, 2011
Dimensions:
689 x 329 pixels
Displayed:
362 times
URL:
https://retinagallery.com/displayimage.php?pid=3298
Favorites:
Add to Favorites