Retina Gallery ~ Full Sized Retina Images

Library of Free, Non-Copyrighted Retina Images and Videos

Choose your language:
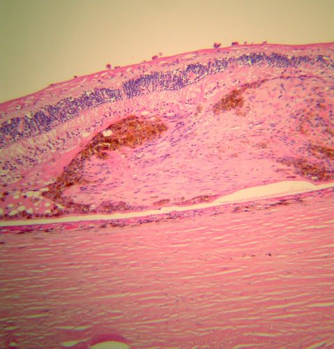
Macular Scar with Retinal Pigment Epithelial Hyperplasia - Hyperpigmentation - Wet Macular Degeneration
Macular Scar in age related macular degeneration with pathology showing retinal pigment epithelial hyperplasia at the edge of the scar.  Histopathogy, microscopic slide, pathology.

Macular Scar with Retinal Pigment Epithelial Hyperplasia - Hyperpigmentation - Wet Macular Degeneration

Macular Scar in age related macular degeneration with pathology showing retinal pigment epithelial hyperplasia at the edge of the scar. Histopathogy, microscopic slide, pathology.

1_AMD_pigmented_scar.JPG 2_AMD_pigmented_scar.JPG 4_AMD_pigmented_scar.JPG 5_AMD_pigmented_scar.JPG 1_AMD_pigmented_scapsr.jpg