Retina Gallery ~ Full Sized Retina Images

Library of Free, Non-Copyrighted Retina Images and Videos

Choose your language:
Idiopathic Central Serous Retinopathy - Bilateral - Acute 
49-year-old man  decreasing vision in the left eye for one week.  He is not taking any steroid or steroid-related products.  His blood pressure as far as he knows is under control.

VISUAL ACUITY:  OD 20/30, OS 20/400

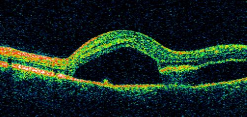
Idiopathic Central Serous Retinopathy - Bilateral - Acute

49-year-old man decreasing vision in the left eye for one week. He is not taking any steroid or steroid-related products. His blood pressure as far as he knows is under control.

VISUAL ACUITY: OD 20/30, OS 20/400

csrbilat_scvi08.jpg csrbilat_scvi09.jpg csrbilat_scvi10.jpg csrbilat_scvi11.jpg csrbilat_scvi12.jpg