Retina Gallery ~ Full Sized Retina Images
Library of Free, Non-Copyrighted Retina Images and Videos
Home
Contact
About Us
Register
Login
Album list
Last uploads
Last comments
Most viewed
Top rated
My Favorites
By date
Search
FAQ
Choose your language:
FILE 10/10
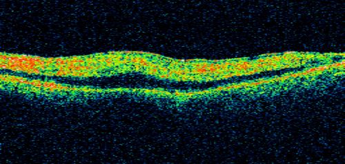
80 Year old man with 3 day history of vision loss right eye. Vision 4/200.
File information
Filename:
crao3dayold_waan10.jpg
Album name:
scohen125
/
CRAO - 3 days old - plaque in vessels
Filesize:
79 KiB
Date added:
Feb 10, 2011
Dimensions:
689 x 329 pixels
Displayed:
435 times
URL:
https://retinagallery.com/displayimage.php?pid=1841
Favorites:
Add to Favorites