Retina Gallery ~ Full Sized Retina Images
Library of Free, Non-Copyrighted Retina Images and Videos
Inicio
Contacto
About Us
Regístrate
Entrar
Lista de álbumes
Últimos archivos
Últimos comentarios
Más vistos
Más valorados
Mis favoritos
Por fecha
Buscar
FAQ
Elige idioma:
Archivo 23/30
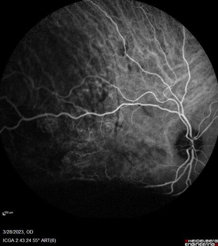
Choroidal Metastatic Breast Cancer with Exudative Detachment
58 year old female presented with 20/200 vision. Had 10 sessions of radiation and tumor shrank. The exudative detachment took almost a year to resolve. The vision improved to 20/40.
Informacion de archivo
Nombre del archivo:
metastatsis_breast1_114906_032823_27.jpg
Nombre de álbum:
scohen125
/
Choroidal Metastasis Breast Cancer - Exudative Retinal Detachment
Tamaño del archivo:
80 KiB
Fecha añadida:
Noviembre 06, 2024
Dimensiones:
768 x 868 píxeles
Visto:
81 visitas
URL:
https://retinagallery.com/displayimage.php?pid=18313
Favoritos:
Añadir a favoritos