Retina Gallery ~ Full Sized Retina Images
Library of Free, Non-Copyrighted Retina Images and Videos
Accueil
Contact
About Us
Inscription
Connexion
Albums
Derniers ajouts
Derniers commentaires
Les plus populaires
Les mieux notées
Mes favoris
Par date
Rechercher
FAQ
Choisissez votre langue:
Photo 16/30
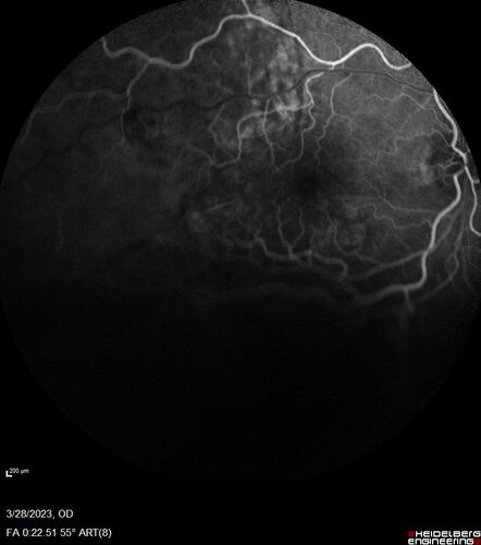
Choroidal Metastatic Breast Cancer with Exudative Detachment
58 year old female presented with 20/200 vision. Had 10 sessions of radiation and tumor shrank. The exudative detachment took almost a year to resolve. The vision improved to 20/40.
Informations sur l'image
Nom du fichier:
metastatsis_breast1_114906_032823_19.jpg
Nom de l'album:
scohen125
/
Choroidal Metastasis Breast Cancer - Exudative Retinal Detachment
Taille du fichier:
48 Ko
Date d'ajout:
06 Novembre 2024
Dimensions:
768 x 868 pixels
Affichées:
106 fois
URL:
https://retinagallery.com/displayimage.php?pid=18306
Favoris:
Ajouter aux favoris