Retina Gallery ~ Full Sized Retina Images

Library of Free, Non-Copyrighted Retina Images and Videos

Choose your language:
Stargardt - Mother with Stargadts and father with RP
Her mom is genetically visually impaired with Stargardts.  Her father has RP.  The mother was genetically tested in Boston about 23 years ago.  That was when the gene was first being isolated. (The mother has seven brothers and sisters and four have stargardts and they are legally blind.  Also one cousin has it.)

VA OD: 20/160 OS: 20/160

She tested positive for ABCA4

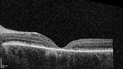
Stargardt - Mother with Stargadts and father with RP

Her mom is genetically visually impaired with Stargardts.  Her father has RP.  The mother was genetically tested in Boston about 23 years ago.  That was when the gene was first being isolated. (The mother has seven brothers and sisters and four have stargardts and they are legally blind.  Also one cousin has it.)

VA OD: 20/160 OS: 20/160

She tested positive for ABCA4

stargardts_2020_105079_06.jpg stargardts_2020_105079_04.jpg stargardts_2020_105079_07.jpg stargardts_2020_105079_01.jpg genetics-1.jpg