Retina Gallery ~ Full Sized Retina Images

Library of Free, Non-Copyrighted Retina Images and Videos

Choose your language:
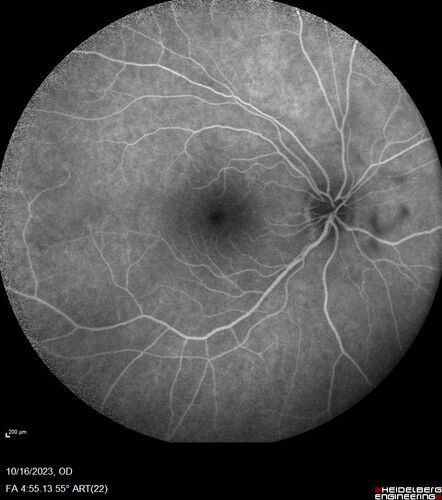
Central Retinal Vein Occlusion with cilioretinal artery occlusion
63 year old female who lost vision in the left eye 2 days ago. She was in the emergency room and had a lot of tests done which were all reportedly normal. The right eye is OK.
VA OD: Dcc20/25 NccJ2
VA OS: Dcc20/200-1 PHNI Ncc20/400-1
IOP: TP: OD:11 OS:12

Central Retinal Vein Occlusion with cilioretinal artery occlusion

63 year old female who lost vision in the left eye 2 days ago. She was in the emergency room and had a lot of tests done which were all reportedly normal. The right eye is OK.
VA OD: Dcc20/25 NccJ2
VA OS: Dcc20/200-1 PHNI Ncc20/400-1
IOP: TP: OD:11 OS:12

CRVO-cilioretinal-occlusion_117350_101623_09.jpg CRVO-cilioretinal-occlusion_117350_101623_10.jpg CRVO-cilioretinal-occlusion_117350_101623_11.jpg CRVO-cilioretinal-occlusion_117350_101623_12.jpg CRVO-cilioretinal-occlusion_117350_101623_13.jpg