Retina Gallery ~ Full Sized Retina Images
Library of Free, Non-Copyrighted Retina Images and Videos
Home
Contact
About Us
Register
Login
Album list
Last uploads
Last comments
Most viewed
Top rated
My Favorites
By date
Search
FAQ
Choose your language:
FILE 7/16
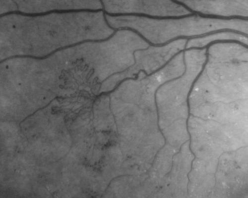
Proliferative Diabetic Retinopathy - Vitreous Hemorrhage and Tractional Retinal Detachment Left Eye
52-year-old man has been diabetic for nineteen years developed substantial vision loss over the last month or two. OD 20/70, OS 20/200.
File information
Filename:
pdrfibrosis_jesh_28629.png
Album name:
scohen125
/
Preretinal Fibrosis Left Eye
Filesize:
1343 KiB
Date added:
Dec 11, 2010
Dimensions:
1500 x 1200 pixels
Displayed:
562 times
URL:
https://retinagallery.com/displayimage.php?pid=1434
Favorites:
Add to Favorites