Retina Gallery ~ Full Sized Retina Images

Library of Free, Non-Copyrighted Retina Images and Videos

Choose your language:
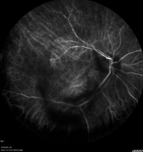
Severe Syphilitic Placoid Chorioretinitis
68 year old man 3 months ago the vision started fading in both eyes.  Just sitting here he can see some light out of his right eye. The patient denies any recent illness or travel.  
VA: OD: LP, OS: 4/200
IOP: 9, 13
Anterior segment: 1+ cell/ 2+ flare OU and 2+ NS and anterior vitreous cells
Labs Reactive RPR 1:256, FTA-ABS - reactive - Patient was admitted to hospital for IV PCN and recovered vision almost completely in the left eye and some in the right eye.
See line scans for recovery

Severe Syphilitic Placoid Chorioretinitis

68 year old man 3 months ago the vision started fading in both eyes. Just sitting here he can see some light out of his right eye. The patient denies any recent illness or travel.
VA: OD: LP, OS: 4/200
IOP: 9, 13
Anterior segment: 1+ cell/ 2+ flare OU and 2+ NS and anterior vitreous cells
Labs Reactive RPR 1:256, FTA-ABS - reactive - Patient was admitted to hospital for IV PCN and recovered vision almost completely in the left eye and some in the right eye.
See line scans for recovery

syphilis_jorai_20211018_33.jpg syphilis_jorai_20211018_35.jpg syphilis_jorai_20211018_36.jpg syphilis_jorai_20211018_34.jpg syphilis_jorai_20211018_37.jpg