Retina Gallery ~ Full Sized Retina Images
Library of Free, Non-Copyrighted Retina Images and Videos
Home
Contact
About Us
Register
Login
Album list
Last uploads
Last comments
Most viewed
Top rated
My Favorites
By date
Search
FAQ
Choose your language:
FILE 13/27
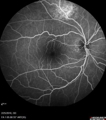
Amelanotic Choroidal Nevus
60 year old man. Nevus is stable over 6 years. Images are Photo, FAF, OCT, FA, ICG, and B-Scan
File information
Filename:
nevus_edgro_2016_47.jpg
Album name:
scohen125
/
Amelanotic Nevus - OCT findings
Filesize:
75 KiB
Date added:
Sep 15, 2021
Dimensions:
768 x 868 pixels
Displayed:
281 times
URL:
https://retinagallery.com/displayimage.php?pid=15106
Favorites:
Add to Favorites