Retina Gallery ~ Full Sized Retina Images
Library of Free, Non-Copyrighted Retina Images and Videos
Home
Contact
About Us
Register
Login
Album list
Last uploads
Last comments
Most viewed
Top rated
My Favorites
By date
Search
FAQ
Choose your language:
FILE 13/23
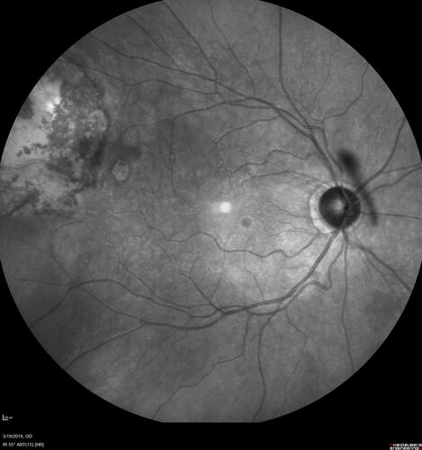
Recurrent Toxoplasmosis Right eye then Left eye 8 years later
33 year old brazilian man. Initially presented with uveitis in the right eye in 2011. Then in the left eye in 2019. Since has had two more episodes.
File information
Filename:
toxoplasmosis2_borod_031919_22.jpg
Album name:
scohen125
/
Toxoplasmosis Chorioretinits Both Eyes - Recrrent
Filesize:
842 KiB
Date added:
Sep 30, 2020
Dimensions:
1536 x 1636 pixels
Displayed:
321 times
URL:
https://retinagallery.com/displayimage.php?pid=14511
Favorites:
Add to Favorites