Retina Gallery ~ Full Sized Retina Images

Library of Free, Non-Copyrighted Retina Images and Videos

Choose your language:
Eales Disease and fresh vitreous hemorrhage - 20 year old man
20 year old mane with fresh vitreous hemorrhage in the right eye.  At age 15 he had a PPV and laser in the left eye and laser in the right eye.  The vision is OD 20/80 PH 20/25, OS 20/25.  The left eye has a mild cataract.  He had prior testing for coagulopathies which was negative.  Testing done for syphillis and TB was negative.  Additional laser was done to prevent further bleeding in the right eye.

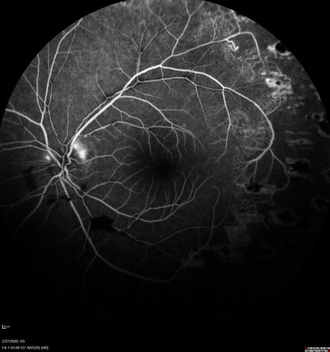
Eales Disease and fresh vitreous hemorrhage - 20 year old man

20 year old mane with fresh vitreous hemorrhage in the right eye. At age 15 he had a PPV and laser in the left eye and laser in the right eye. The vision is OD 20/80 PH 20/25, OS 20/25. The left eye has a mild cataract. He had prior testing for coagulopathies which was negative. Testing done for syphillis and TB was negative. Additional laser was done to prevent further bleeding in the right eye.

eales_reale_022720_18.jpg eales_reale_022720_19.jpg eales_reale_022720_20.jpg eales_reale_022720_21.jpg eales_reale_022720_22.jpg