Retina Gallery ~ Full Sized Retina Images
Library of Free, Non-Copyrighted Retina Images and Videos
Home
Contact
About Us
Register
Login
Album list
Last uploads
Last comments
Most viewed
Top rated
My Favorites
By date
Search
FAQ
Choose your language:
FILE 17/20
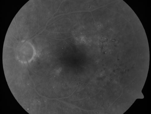
Clinically Significant Diabetic Macular Edema both Eyes with Exudates
56-year-old woman with diabetes for twelve years. She has noticed blurring of the vision in the right eye for about six months. OD is 20/70, OS is 20/25.
File information
Filename:
csmeexudatebdrmapa_60123_281629.jpg
Album name:
scohen125
/
Diabetic Macular Edema - Exudates
Filesize:
540 KiB
Date added:
Nov 29, 2010
Dimensions:
2588 x 1958 pixels
Displayed:
460 times
URL:
https://retinagallery.com/displayimage.php?pid=1211
Favorites:
Add to Favorites