Retina Gallery ~ Full Sized Retina Images
Library of Free, Non-Copyrighted Retina Images and Videos
Home
Contact
About Us
Register
Login
Album list
Last uploads
Last comments
Most viewed
Top rated
My Favorites
By date
Search
FAQ
Choose your language:
FILE 12/29
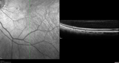
Stellate Non-heredtiary Idiopathic Foveomacular Retinoschisis (SNIFR)
77 year old man who is healthy and 6'6" tall with 20/40 vision and no complaints. OCT shows diffuse retinoschisis.
File information
Filename:
schisis-gero_040319_12.jpg
Album name:
scohen125
/
Stellate Non-heredtiary Idiopathic Foveomacular Retinoschisis (SNIFR)
Filesize:
1566 KiB
Date added:
Apr 06, 2019
Dimensions:
3072 x 1636 pixels
Displayed:
369 times
URL:
https://retinagallery.com/displayimage.php?pid=12268
Favorites:
Add to Favorites