Retina Gallery ~ Full Sized Retina Images

Library of Free, Non-Copyrighted Retina Images and Videos

Choose your language:
Neuroretinitis - Negative cat scratch serology twice - Possible Behcets
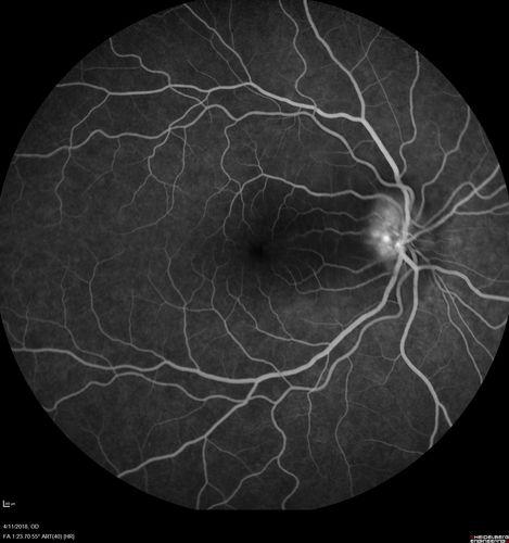
65 year old man with no direct cat exposure and vision loss from neuroretinitis.  His work up was positive for HLA B51.  He had negative cat scratch titers twice.  Vision dropped from 20/60 - 20/200 and then improved to 20/40 over 2 months

Neuroretinitis - Negative cat scratch serology twice - Possible Behcets

65 year old man with no direct cat exposure and vision loss from neuroretinitis. His work up was positive for HLA B51. He had negative cat scratch titers twice. Vision dropped from 20/60 - 20/200 and then improved to 20/40 over 2 months

nr-behcets-hehe1_041118_19.jpg nr-behcets-hehe1_041118_18.jpg nr-behcets-hehe1_041118_20.jpg nr-behcets-hehe1_041118_21.jpg nr-behcets-hehe1_041118_23.jpg