Retina Gallery ~ Full Sized Retina Images

Library of Free, Non-Copyrighted Retina Images and Videos

Choose your language:
Chronic Central Serous Chorioretinopathy Both Eyes
60 year old man with 20 year history of chronic CSR. He has had laser and PDT in the past.  The left eye has been 20/100 for decades.  The right eye is now declining.  Was 20/32 and is down to 20/50.  There is chronic low grade subretinal fluid away from the center in the right eye.  (focal laser in the right eye in 2005, left eye 2001 at BPEI).  Refampin tried in 2012, Aldactone in 2013.  PDT in 204 and 2017  Images are from 2017

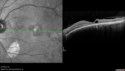
Chronic Central Serous Chorioretinopathy Both Eyes

60 year old man with 20 year history of chronic CSR. He has had laser and PDT in the past. The left eye has been 20/100 for decades. The right eye is now declining. Was 20/32 and is down to 20/50. There is chronic low grade subretinal fluid away from the center in the right eye. (focal laser in the right eye in 2005, left eye 2001 at BPEI). Refampin tried in 2012, Aldactone in 2013. PDT in 204 and 2017 Images are from 2017

chronic-csr-laco-113017_000.jpg chronic-csr-laco-113017_001.jpg chronic-csr-laco-113017_003.jpg chronic-csr-laco-113017_002.jpg chronic-csr-laco-113017_006.jpg