Retina Gallery ~ Full Sized Retina Images
Library of Free, Non-Copyrighted Retina Images and Videos
Home
Contact
About Us
Register
Login
Album list
Last uploads
Last comments
Most viewed
Top rated
My Favorites
By date
Search
FAQ
Choose your language:
FILE 9/28
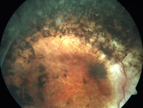
Enhanced S Cone Syndrome - Goldmann Favre - NR2E3 Mutation
82 year old man with poor vision for many years. VA HM OD, 5/200 OS. Diagnosed at age 12 with retinitis pigmentosa. Nystagmus.
File information
Filename:
enhancedScone_dowhi_012120_02.jpg
Album name:
scohen125
/
Enhanced S Cone Syndrome - NR2E3 Mutations
Filesize:
2398 KiB
Date added:
Apr 22, 2020
Dimensions:
2588 x 1958 pixels
Displayed:
585 times
URL:
https://retinagallery.com/displayimage.php?pid=13910
Favorites:
Add to Favorites