Retina Gallery ~ Full Sized Retina Images

Library of Free, Non-Copyrighted Retina Images and Videos

Choose your language:
CRVO with Paracentral Acute Middle Maculopath - PAMM
56 year old woman with sudden vision loss, hemorrhages in all four quadrants.  FA shows good retinal circulation.  The OCT shows PAMM lesions in the affected eye.  Vision did improve on second visit from 20/160 to 20/60 in about a month

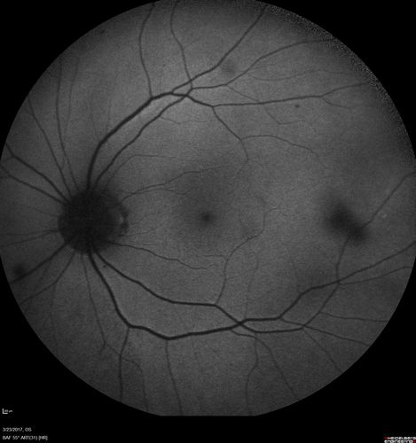
CRVO with Paracentral Acute Middle Maculopath - PAMM

56 year old woman with sudden vision loss, hemorrhages in all four quadrants. FA shows good retinal circulation. The OCT shows PAMM lesions in the affected eye. Vision did improve on second visit from 20/160 to 20/60 in about a month

pamm1_kadu_032317_07.jpg pamm1_kadu_032317_08.jpg pamm1_kadu_032317_09.jpg pamm1_kadu_032317_03.png pamm1_kadu_032317_11.jpg