Retina Gallery ~ Full Sized Retina Images
Library of Free, Non-Copyrighted Retina Images and Videos
Home
Contact
About Us
Register
Login
Album list
Last uploads
Last comments
Most viewed
Top rated
My Favorites
By date
Search
FAQ
Choose your language:
FILE 4/17
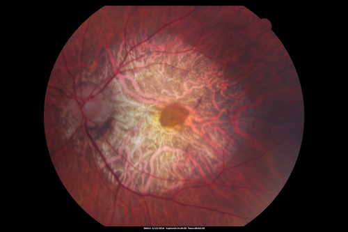
Central Areolar Choroidal Dystrophy
Vision loss from early 60's. This 78 year old woman has choroidal atrophy centrally.
File information
Filename:
choroidalsclerosis_diwa_041316_03.png
Album name:
scohen125
/
Choroidal Sclerosis - Central Areolar Choroidal Dystrophy
Filesize:
11615 KiB
Date added:
Jul 07, 2016
Dimensions:
3504 x 2336 pixels
Displayed:
1133 times
URL:
https://retinagallery.com/displayimage.php?pid=9224
Favorites:
Add to Favorites