Retina Gallery ~ Full Sized Retina Images

Library of Free, Non-Copyrighted Retina Images and Videos

Choose your language:
hydroxychloroquine (Plaquenil) Toxicity - Taiwanese - 3 years post stopping
59 year old female on 400 mg plaquenil for 22 years. 3 years ago, when stopping plaquenil, VA 20/50 both eyes.  Plaquenil was stopped.  The vision in the left eye continued to deteriorate to 3/200.  5'2" 127 lb (6.6 mg/kg body weight) -- Vision in these images is 20/80 OD, 5/200 OS - Vision loss now seems stable.

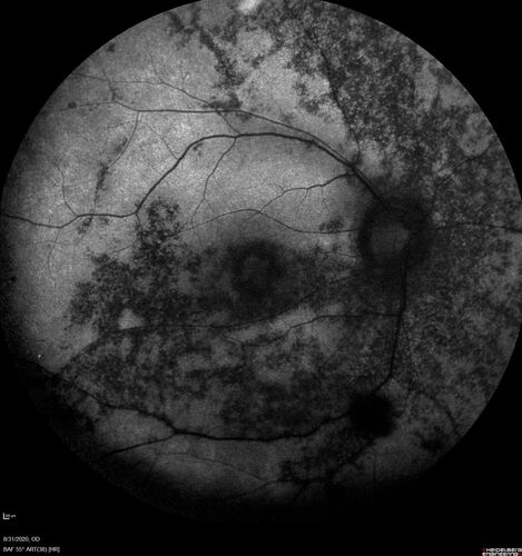
hydroxychloroquine (Plaquenil) Toxicity - Taiwanese - 3 years post stopping

59 year old female on 400 mg plaquenil for 22 years. 3 years ago, when stopping plaquenil, VA 20/50 both eyes. Plaquenil was stopped. The vision in the left eye continued to deteriorate to 3/200. 5'2" 127 lb (6.6 mg/kg body weight) -- Vision in these images is 20/80 OD, 5/200 OS - Vision loss now seems stable.

Hydroxychloroquine_-_Plaquenil_Toxicity_-_three_years_post_stopping_meds_VA_2080_OD_20200_OS_-_mekir-083120_03.jpg Hydroxychloroquine_-_Plaquenil_Toxicity_-_three_years_post_stopping_meds_VA_2080_OD_20200_OS_-_mekir-083120_04.jpg Hydroxychloroquine_-_Plaquenil_Toxicity_-_three_years_post_stopping_meds_VA_2080_OD_20200_OS_-_mekir-083120_05.jpg Hydroxychloroquine_-_Plaquenil_Toxicity_-_three_years_post_stopping_meds_VA_2080_OD_20200_OS_-_mekir-083120_06.jpg Hydroxychloroquine_-_Plaquenil_Toxicity_-_three_years_post_stopping_meds_VA_2080_OD_20200_OS_-_mekir-083120_07.jpg