Retina Gallery ~ Full Sized Retina Images
Library of Free, Non-Copyrighted Retina Images and Videos
Home
Contact
About Us
Register
Login
Album list
Last uploads
Last comments
Most viewed
Top rated
My Favorites
By date
Search
FAQ
Choose your language:
FILE 28/28
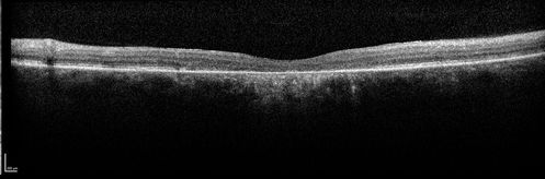
Stargardt's Macular Dystrophy ABCA4 positive
Images show some progression over 3 years of macular dystrophy.
File information
Filename:
stargardts3_kafe_201524.jpg
Album name:
scohen125
/
Stargardt's Macular Dystrophy - Heterozygous ABCA4 T>C substitution at potisoin -10 of intro 38
Filesize:
484 KiB
Date added:
Feb 16, 2016
Dimensions:
1540 x 508 pixels
Displayed:
458 times
URL:
https://retinagallery.com/displayimage.php?pid=8842
Favorites:
Add to Favorites