Retina Gallery ~ Full Sized Retina Images
Library of Free, Non-Copyrighted Retina Images and Videos
Home
Contact
About Us
Register
Login
Album list
Last uploads
Last comments
Most viewed
Top rated
My Favorites
By date
Search
FAQ
Choose your language:
FILE 19/23
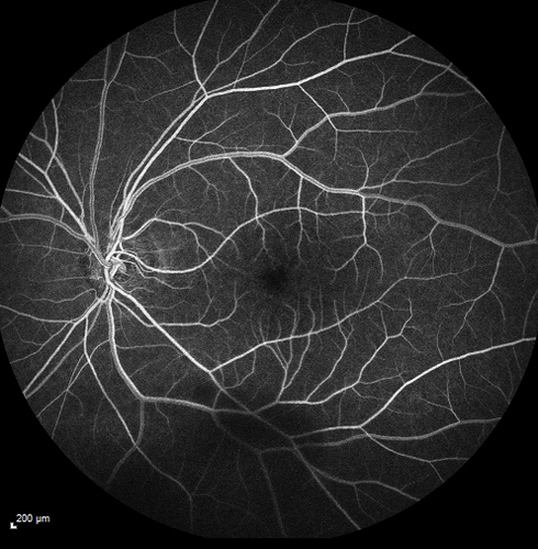
Pseudophakic CME with serous retinal detachment - FA shows leakage in both eyes
68 year old man with 2 months of vision loss. FA shows CME, notice that the nerve also leaks. This is typical for pseudophakic inflammatory cystoid macular edema
File information
Filename:
cme_roen_08281519.png
Album name:
scohen125
/
CME 4 months following cataract surgery with serous retinal detachment
Filesize:
736 KiB
Date added:
Oct 05, 2015
Dimensions:
496 x 506 pixels
Displayed:
430 times
URL:
https://retinagallery.com/displayimage.php?pid=8635
Favorites:
Add to Favorites